A legújabb eredmények még inkább összekuszálták a szálakat egy közel tíz éve megfigyelt érdekes természeti jelenség, az indiai vörös eső körül. Egyes kutatók az újonnan kimutatott DNS-tartalom ellenére is ragaszkodnak ahhoz, hogy az esőcseppekben Földön kívüli létformák voltak, a tudományos közösség azonban továbbra is szkeptikus, és az eredmények egyelőre egyetlen szaklapban sem tudtak megjelenni.

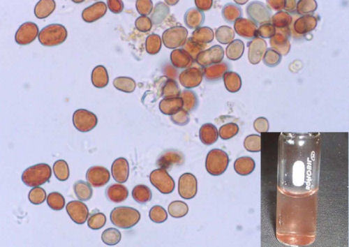
A vörös eső részecskéi ezerszeres nagyítás alatt, valamint egy mintával teli üveg
Furcsa, vörös színű sejtszerűségeket talált az indiai Mahatma Ghandi Egyetem kutatója abban a vöröses esővízmintában, ami 2001-ben záporozott Kerala államra.
Dr. Godfrey Louis alapos vizsgálatoknak vetette alá az organizmusokat és igen meglepő eredményeket kapott, melyből akár arra is lehetne következtetni, miszerint a 4-10 mikron méretű, vastag falú sejtnek tűnő képződmények a világűrből érkeztek bolygónkra.
A Louis által izolált képződmények az eddig elvégzett tesztek szerint nem rendelkeznek dezoxiribonukleinsavval, azaz DNS-sel, mégis képesek a szaporodásra, akár 315 Celsius fokos vízben is, ami messze meghaladja az általunk ismert élet által elviselhető 120 fokos felső határt. A kutató szerint egy földönkívüli mikrobáról van szó, ami alkalmazkodva az űr zord körülményeihez jól viseli a szélsőséges helyzeteket.
Dr. Louis dolgozata, amelyben a mikrobát földönkívüli eredetűnek minősíti, az alábbi linken olvasható:
http://arxiv.org/abs/astro-ph/0601022v1
2005 végén Louis elküldött néhány mintát a földönkívüli élet bizonyítékait kutató csillagásznak, Chandra Wickramasinghe-nek, aki jelenleg a Louis által elvégzett kísérletek megismétlésén fáradozik. Az első eredmények publikálására elvileg az év második felében számíthatunk, a Popular Science-nek azonban annyit már sikerült megtudnia Wickramasinghe-től, hogy valóban szokatlan jelenségről van szó. Az elektron mikroszkópos vizsgálatok szerint a félbevágott sejtekben aktivitás tapasztalható, a nagyobb sejtekben több kisebb sejt mozog.
Ha perdöntően megállapításra kerül, hogy ezek a sejtek nem földi eredetűek, akkor bizonyítást nyer Wickramasinghe pánspermia elmélete, mely szerint üstökösök hozták el az életet bolygónkra 4 milliárd évvel ezelőtt. A walesi Cardiff Egyetemen dolgozó tudós szerint ebben az esetben azt is figyelembe kell venni, hogy időről időre újabb mikroorganizmusok érkeznek és épülnek be környezetünkbe, például csapadék formájában, ahogy ezt az indiai eset is mutatja, ahol 2001. július 25-től közel 2 hónapon át hullott a vörös eső, legintenzívebben az első tíz napban. Louis becslése szerint legalább 50 tonna vörös részecske hullott le az égből.

A sejtszerű képződmény 8000-szeres nagyítás alatt
Nem csupán a főként elméleti síkon dolgozó Wickramasinghe kapott Louise mintáiból. A fura sejteket vizsgálja a Sheffield Egyetem mikrobiológusa, Milton Wainwright is. A vizsgálatok kezdeti szakaszaiban eddig egy eredményt sikerült regisztrálni, mely szerint a DNS teszt pozitív lett, azaz a sejtek nem rendelkeznek sem DNS-sel, sem RNS-sel. Az általunk ismert életnek viszont tartalmaznia kell DNS-t, különben jelen ismereteink szerint nem nyilvánítható életnek, magyarázta Wainwright, hozzátéve, hogy ha az anomália a további tesztek után is fennáll, akkor sem feltétlenül tekinthetők a sejtek földönkívülieknek.

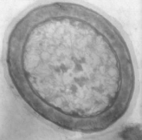
Egy átlagos vörös eső részecske 25000-szeres nagyítás alatt, jól látható a vastag sejtfal
Godfrey 2006-ban közölt eredményei szerint a vörös esőben sejtek találhatók, amelyek vastag, ellenálló burokkal és egy meghatározott belső struktúrával rendelkeznek, ránézésre hasonlóak földi egysejtűekhez, vagy a vízben úszó zsír-, esetleg olajcseppekhez. A beszámolóból kiderült: a minták összetételüket tekintve 49% szénből, 45% oxigénből és számos egyéb elemből álltak (mint például nátrium, alumínium, szilícium, klór és vas), és nem tartalmaztak DNS-t, szobahőmérsékleten pedig inaktívak voltak. Bár a hivatalos közleményben végül nem szerepelt, Godfrey állítása szerint a sejtek jóval 100 °C felett szaporodni kezdtek, és akár 300 °C-on is hatékonyan reprodukálódtak. Ezen tulajdonságaik alapján teljesen különböznek a földi élőlényektől, Godfrey ezért valószínűsítette, hogy a sejtek valójában egy a légkörben szétrobbanó meteorból származnak, mely idegen életet hozott bolygónkra egy másik világból.

Chandra Wickramasinghe professzor. Egyik gyakran idézett kijelentése:
“the idea of life being a cosmic phenomenon is fully in tune with Buddhist as well as Vedic philosophy.”
Jelenlegi tudásunk szerint a földi élőlények többsége 10-45°C közt aktív, kivéve egyes úgynevezett termofil élőlényeket, melyek 70°C-ig is életképesek maradnak. Mindannyiukat túlszárnyalják azonban az eddigi rekorder hipertermofilek, melyek mélytengeri füstölgők környékén akár 121°C-on is tenyésznek, és ezzel a legforróbb környezetet elviselő ismert élőlények. Ha azonban a vörös eső lényei 300°C-os hőmérsékleten is szaporodnak, azzal jelentősen felülmúlnák az eddigi csúcstartókat. Továbbá ez azt is jelentené, hogy egy olyan környezethez szoktak, ahol a hőmérséklet tartósan 100°C fölött van.

Godfrey Louis professzor
A fizikus szerint a Földön kívüli eredet mellett szól a DNS hiánya is. Az eddig megismert földi élőlényeknek ugyanis közös tulajdonsága, hogy sejtjeik DNS-sel rendelkeznek, ez az örökítőanyaguk, enélkül életképtelenek. (Egyes vírusok örökítőanyaga RNS, de a vírusokat nem tekintjük önálló élőlényeknek.)

Illusztráció Louis professzor honlapjáról
(http://sites.google.com/site/godfreylouis/ )
Wickramasinghe ismert név a Földön kívüli élet utáni kutatások területén: ő az egyik megalkotója az úgynevezett pánspermia elméletnek, mely szerint az élet csírái más bolygókról érkeztek Földünkre, meteoritok becsapódásaival. Elméletét arra alapozza, hogy számítások szerint egy meteor belsejében nem emelkedik 50°C fölé a hőmérséklet még a légkörbe lépés során sem, a kőzet porózus belseje ugyanakkor a barátságtalan űrbéli körülményektől is megvédheti az esetleg benne utazó mikróbákat.
Wickramasinghe és Godfrey a 2010-es kutatásokról megjelent beszámolójukban megerősítik, hogy a vörös eső sejtjei 121°C-on szaporodnak, és mikroszkópos vizsgálatokkal állítólag azt is megfigyelték, miként osztódnak a mikróbák. A közlemény azonban ennél jóval tovább megy. A kutatók ugyanis a minta úgynevezett fluoreszcencia spektrumát is vizsgálták, és egyezést véltek felfedezni a vörös eső színképe (spektruma) és az Egyszarvú (Monoceros) csillagkép közelében található Vörös Téglalap-köd spektruma között.
A Vörös Téglalap-köd
A színes eső meglepően gyakori a Földön, és eredete általában könnyen megmagyarázható: gyakran vulkánkitöréseket követően sötét az esővíz, amit a levegőbe kerülő vulkáni hamu okoz. Máskor, például Dél-Európában, sokszor a Szaharából felkavart homok hatására hullik vörös csapadék. Azonban ezen esetek még nem magyaráznák az indiai vörös esőt, hiszen abban port vagy homokot nem találtak.
Ugyanakkor ismertek olyan esők is, melyek során kisebb-nagyobb élőlények, akár békák vagy halak hullottak az égből. Az intenzív feláramlás alkalmanként apróbb testeket is a levegőbe emel, és a szelek messzire szállíthatják azokat, hogy később csapadékkal újra a felszínre hulljanak.
Az indiai vörös esőre is léteznek földhözragadtabb magyarázatok. A jelenséget az indiai kormány Tudomány és Technika intézetének földtudományi központja (CESS) is vizsgálta, majd a szintén állami Trópusi Botanikus Kert és Kutatóintézetet (TBGRI) is bevonták a vizsgálatba.
A 2001 novemberében közösen kiadott jelentésükben a fenti intézetek szakemberei leszögezik, hogy “az eső színéért egy a Trentepohlia genusba tartozó zuzmóalkotó alga spórájának elszaporodása a felelős. Terepi megfigyelések szerint a terület nagyszámú ilyen vörös zuzmót tartalmaz. A Changanacherry régióban gyűjtött zuzmók laborkörülmények között ugyanazon algák megjelenését eredményezték. Mindkét minta (mind az esővíz, mind a fákról gyűjtött zuzmó) ugyanazokat az algákat tartalmazta, utalva arra, hogy az esővízben megjelenő spórák valószínüleg helyi forrásokból származnak.”
A vizsgálat emellett nem talált meteorikus anyagra, vulkáni hamura vagy sivatagi porra utaló jelet, és azt is kizárta, hogy a színváltozást valamilyen vízben oldódott gáz vagy szennyezőanyag okozta.
A területet bejárva a tudósok megfigyelték, hogy a vörös zuzmó vastagon borította a fák kérgét (jobbra), köveket, tetőket, de még a lámpaoszlopokat is. Az esemény előtti heves esőzések a régióban pedig lehetővé tették, hogy az algák nagyszámú spórát hozzanak létre, ami megfelelne az esőkben becsült mennyiségnek. A vizsgálat azonban nem talált magyarázatot arra, hogy miként kerültek a spórák ilyen nagy sűrűségben az esőfelhőkbe, sem arra, hogy hogyan lehettek képesek az algák ilyen szinkronizáltan osztódni. Ahogy a jelentés fogalmaz: “Míg az eső elszíneződésének oka világossá vált, ezen kérdések megválaszolása további kihívásokat jelent.”
További furcsaságok is akadnak. A Cardiffi Egyetem honlapján egy közleményben az is megjelent Wickramasinghe nevével, hogy későbbi vizsgálataik mégis DNS-re utaló nyomokat mutattak ki a mintából. Ez tovább erősíti az algaspórák jelenlétét a vörös esőben. Ezt az eredményt azonban nem említik új cikkükben, amely ugyan már nyilvános, de egyelőre egyetlen szaklapban sem sikerült közölniük.
Godfrey nemrég egy San Diegóban megrendezett asztrobiológiai konferencián is bemuttatta eredményeit. A szűk körű, szakértő közönség - amelynek a Collegium Budapest képviseletében tagja volt Világűr rovatunk vezetője, Kereszturi Ákos is - értetlenül állt a magyarázat előtt. Többen hangot adtak a véleményüknek, mely szerint ha egy folyadékcsepp magas hőmérsékleten kettéválik, az ettől még nem tekinthető élőlénynek. Ennek ellenére Godfrey és kollégái egy sajtóbejelentés révén ismét a média fókuszába állították elméletüket, amelyet szakmai körök továbbra is kétkedéssel fogadnak. Utóbbi fő oka nem is maga az állítás, hogy Földön kívüli életformára akadtak, hanem egy egzakt vizsgálat dokumentációjának hiánya, és az alkalmanként egymásnak ellentmondő kijelentések.
Almár Iván űrkutató-csillagász a 2010 elején Londonban bemutatott új skáláján - amely az első kísérlet arra, hogy objektíven, egy skálán értékeljünk olyan bejelentéseket, amelyek valamiféle Földön kívüli élet felfedezésére vonatkoznak - a legalacsonyabb értéket adta az indiai vörös esőnek. A kis érték oka éppen az, hogy bár a jelenség érdekes, a megfigyelések megbízhatósága nagyon gyenge. Almár skáláján egyébként a végeredmény egy 0-10 közötti szám lehet, amely számszerűen is megmutatja, mennyire jelentős egy-egy felfedezés. A 0-s értéket akkor kaphatja meg egy bejelentés, ha utólag kiderül róla, hogy téves vagy szándékosan félrevezető volt. A 10-es érték akkor adható, ha egy komplex (nem egysejtű), a földitől alapvetően eltérő (tehát például nem DNS-t használó), életben lévő organizmust földi laboratóriumban sikerül megvizsgálni, és megerősíteni, hogy ez egy Földön kívüli életforma. A vörös eső esetében egyre nagyobb az esély a 0-s értékre.
http://www.origo.hu/tudomany/20100917-voros-eso-india-kerala-asztrobiologia-inkabb-algak-mint-foldon-kivuli.html